
관절센터
일반 관절전문병원과 달리 협진 시스템이 구축된 종합병원으로 내과 및 신경과의 협진을 통해 여러 개의 질환을 동시에 가지고 있는 관절 환자들에게 보다 근본적이고 통합적인 진료를 실시합 니다. 또한 한도병원의 인공 관절 수술은 최소절개술을 사용하여 수술 후 환자들이 빠르게 회복 할 수 있도록 노력하고 있습니다.

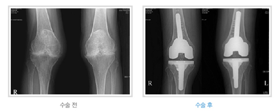
수술 후 기대효과

연골판 이식술
특징
체계적인 협진 시스템과 원스톱 서비스
일반 관절전문병원과 달리 종합병원으로서 협진 시스템을 갖추고 있는 한도병원은 내과 및 신경과와 협진을 통해 다른 질환을 동시에 가지고 있는 관절 환자들에게 보다 근본적이고 통합적인 진료를 실시합니다. 또한 검사부터 수술, 재활에 이르기까지 환자의 치료에 필요한 모든 과정을 한 곳에서 해결할 수 있는 원스톱 서비스를 제공하고 있습니다.
출혈이 적고 회복도 빠른 최신 수술법 채택
인공관절 수술은 수혈이 필요하고 수술시간도 긴 편입니다. 최근에는 이러한 위험요인을 최소화함으로써 보다 안전하게 수술하기 위해 최소침습수술기법이 발달하고 있습니다. 이러한 추세에 발맞추어 한도병원에서도 최소절개술을 도입, 시행하고 있습니다. 절개부위가 16~20cm에 달했던 기존의 인공관절 수술에 비해 한도병원 인공관절 수술은 절개부위가 10~12cm에 불과해 출혈량이 훨씬 적고 회복이 빠르다는 장점이 있습니다.
담당의사와 전담 물리치료사의 체계적인 재활치료
수술 후 회복과정에서 재활치료가 반드시 수반되어야 하는 인공관절 수술. 한도병원은 인공관절 수술 환자들의 재활에 전문성을 더하고 보다 효과적인 치료가 이루어질 수 있도록 중추신경계 재활치료실과 척추·정형 파트 재활치료실을 별도로 운영하고 있습니다. 또한 전담 물리치료사 제도를 도입해 치료효과는 물론 환자와의 소통이 더욱 원활하게 이루어질 수 있도록 하고 있습니다. 환자들은 수술을 하고 회복될 때까지 자신의 상태를 가장 잘 알고 최상의 상태로 이끌어 줄 수 있는 맞춤 재활치료를 받을 수 있습니다.
환자에게 꼭 맞는 맞춤형 인공관절 적용
한도병원에서는 체구가 작은 한국 여성 환자를 위해 ‘여성용 맞춤 인공관절'을 도입했습니다. 이는 남성이나 서양인에 비해 무릎관절 크기가 작은 동양여성의 몸에 맞추어 제작된 인공관절로서, 수술 후 통증감소 및 무릎 운동각도 향상 등에서 좋은 결과를 보여주고 있습니다. 또한 한도병원에서 도입한 세라믹 소재의 새로운 인공관절은 기존 인공관절보다 약 4900배 이상의 내마모성을 가진 제품으로 그 수명이 25~30년에 달해 젊은 연령대의 환자들에게 적합한 제품입니다.
환자에게 꼭 맞는 맞춤형 인공관절 적용
한도병원은 세계적으로 가장 높은 시장점유율을 확보하고 있는 회사의 인공관절물을 사용하고 있습니다. 이 회사는 제품 선택의 폭이 넓어 환자의 관절 상태에 따라 가장 알맞은 관절물을 사용할 수 있으며 세계적으로도 기능과 안전성을 인정받고 있습니다.